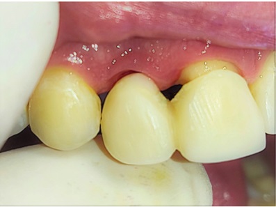
El póntico ovoide es comúnmente utilizado en rehabilitación oral, se caracteriza por su forma ovalada, que imita la morfología natural de un diente.

Crédito: Omar Alvarado J.
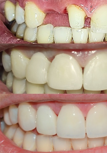
Este diseño ofrece varias ventajas en el sector estético en comparación con otras formas de pónticos. Contribuye a una apariencia más natural y armoniosa en la rehabilitación oral, sobre todo en áreas visibles de la sonrisa, donde la estética es una prioridad para el paciente. Proporciona una transición suave entre los dientes circundantes, lo que resulta en una apariencia más natural y estéticamente agradable.
Además, el diseño de póntico ovoide puede ayudar a minimizar la acumulación de alimentos y la irritación de los tejidos blandos, lo que contribuye a la comodidad del paciente y a una mejor higiene oral.

Se busca minimizar el contacto del póntico con la encía para reducir la presión sobre el tejido gingival, permitiendo su salud y previniendo la recesión. Idealmente, el póntico debe tener un ligero espacio con el tejido gingival para permitir la circulación de aire y la limpieza.

Al realizar un tratamiento restaurador en el sector anterior, se debe analizar detalladamente el escenario clínico, siendo necesario en muchas ocasiones, el trabajo multidisciplinario para garantizar resultados y solventar las exigencias estéticas del caso. La pérdida de dientes en el sector anterior puede traer como consecuencia el colapso óseo y gingival; por ejemplo, la pérdida de las papilas interdentales. El diseño ovoide permite preservar dicha morfología.
El manejo del perfil de emergencia en el sector anterior con un póntico ovoide es una técnica clave en la odontología restauradora y protésica, especialmente en la creación de puentes fijos que buscan no solo reemplazar dientes ausentes, sino también mantener o mejorar la estética gingival y la salud periimplantaria. La función del póntico es la de ejercer como matriz de cicatrización gingival, guiada por el clínico y la preservación del volumen óseo.
Este diseño, no solo mejora la función y estética del puente dental, sino que también contribuye significativamente a la satisfacción del paciente. Es un proceso que requiere una planificación detallada y una ejecución precisa, teniendo en cuenta tanto los aspectos protésicos como los biológicos.

Los artículos publicados son de exclusiva responsabilidad de cada autor/a. El lector queda autorizado a consultar, descargar y reproducir los contenidos que se ofrecen en el folleto, siempre conservando la información del documento original, observando claramente las fuentes utilizadas y respetando ante todo los derechos de autor.
Sobre el autor: Odontólogo, Especialista en Rehabilitación Oral por la Universidad de Cuenca (Ecuador)
Docente contratado en Pregrado de la Facultad de Odontología de la Universidad de Cuenca.
Docente colaborador en el Postgrado de Rehabilitación Oral y Prótesis Implanto Asistida en la Universidad de Cuenca.
Los artículos publicados son de exclusiva responsabilidad de cada autor/a. El lector queda autorizado a consultar, descargar y reproducir los contenidos que se ofrecen en el folleto, siempre conservando la información del documento original, observando claramente las fuentes utilizadas y respetando ante todo los derechos de autor.